Avascular necrosis of the hip

Avascular Necrosis of the Hip: Bone tissue damage due to reduced blood supply

Avascular necrosis (AVN), also known as osteonecrosis, occurs when the blood supply to the hip joint is reduced or interrupted. Without a steady supply of blood, the bone tissue in the femoral head (the ball of the hip joint) begins to weaken and die. Over time, this can cause the bone to collapse, leading to hip joint deformity, pain, and loss of function.

Avascular necrosis can develop slowly, with symptoms gradually worsening over time. Early detection is essential to prevent the progression of the condition and avoid further damage to the hip joint.

Causes Of Avascular Necrosis Of The Hip

Avascular necrosis is caused by a disruption or reduction in the blood supply to the femoral head. This disruption can result from several factors, including:

  • Trauma or Hip Injury: A hip fracture, dislocation, or severe joint injury can damage the blood vessels that supply blood to the femoral head, leading to avascular necrosis.
  • Corticosteroid Use: Long-term use of corticosteroid medications (such as prednisone) is a well-documented cause of AVN. These medications can affect the body’s ability to maintain healthy bone tissue, leading to bone weakening.
  • Excessive Alcohol Consumption: Chronic, excessive alcohol intake can affect bone health by interfering with the body’s ability to repair and maintain healthy bone tissue, increasing the risk of AVN.
  • Medical Conditions and Diseases: Certain medical conditions, such as sickle cell disease, lupus, and blood clotting disorders, can reduce blood flow to the hip joint, leading to avascular necrosis.
  • Radiation Therapy: Radiation treatment for cancer can damage blood vessels, reducing blood flow to the femoral head and increasing the risk of AVN.
  • Decompression Sickness (Caisson Disease): Divers and workers exposed to high-pressure environments may experience nitrogen gas bubbles in their blood, which can block blood flow to the bones, including the hip.
  • Idiopathic Causes: In some cases, no clear cause is identified. This is known as idiopathic avascular necrosis.

Symptoms Of Avascular Necrosis Of The Hip

Symptoms of avascular necrosis may develop gradually, often starting with mild pain and progressing to more severe discomfort as the condition worsens. Common symptoms include:

  • Hip Pain: Pain is often felt in the groin, thigh, or buttocks and may worsen with weight-bearing activities like walking, running, or standing.
  • Reduced Range of Motion: You may experience stiffness and difficulty rotating, bending, or moving the hip. Everyday activities like tying shoes or getting out of a car may become challenging.
  • Pain with Movement: Hip pain may be more noticeable with certain activities, such as walking uphill, climbing stairs, or twisting movements.
  • Night Pain: In more advanced stages, hip pain may persist even when at rest or during the night, affecting sleep quality.
  • Limping or Gait Changes: As the femoral head weakens, you may develop a limp or an altered walking pattern to avoid putting pressure on the affected hip.

If you are experiencing persistent hip pain, stiffness, or difficulty with movement, it is important to seek medical advice for an accurate diagnosis. Early detection of avascular necrosis can prevent further joint damage.

Risk Factors For Avascular Necrosis Of The Hip

Several factors can increase the risk of developing avascular necrosis of the hip. These include:

  • Hip Trauma or Injury: Fractures, dislocations, and joint injuries are significant risk factors as they can damage the blood vessels that supply the femoral head.
  • Corticosteroid Use: People who take corticosteroid medications for extended periods, such as those with chronic inflammatory conditions, have an increased risk of developing AVN.
  • Excessive Alcohol Use: Regular heavy drinking can weaken bone tissue and reduce the body’s ability to maintain healthy bones.
  • Certain Medical Conditions: Conditions like sickle cell disease, lupus, and blood clotting disorders increase the risk of AVN due to their impact on blood flow.
  • Cancer Treatment (Radiation): Radiation therapy can damage blood vessels, increasing the risk of blood flow disruptions to the hip.
  • Decompression Sickness: Divers exposed to sudden changes in atmospheric pressure may develop nitrogen bubbles in their blood, which can block blood flow to the femoral head.
  • Age and Gender: While AVN can affect people of all ages, it is more common in adults aged 30 to 50. Both men and women are susceptible, although certain risk factors (like alcohol consumption) may be more prevalent in men.
  • Smoking: Smoking may reduce blood flow to the bones, increasing the likelihood of avascular necrosis.

Recognising and addressing these risk factors can help reduce the likelihood of developing avascular necrosis, especially for those taking long-term corticosteroids or with a history of hip injury.

Diagnosis Of Avascular Necrosis Of The Hip

An accurate diagnosis is essential to determine the extent of the condition and the most suitable treatment options. Dr. Scott Tulloch may use the following methods to assess avascular necrosis of the hip:

  • Clinical Examination: Dr. Tulloch will review your medical history, discuss your symptoms, and perform a physical examination. This may include checking your hip’s range of motion, flexibility, and response to certain movements.
  • Imaging Tests:
    • X-Rays: X-rays are used to identify changes in the shape or structure of the femoral head. In early stages, X-rays may not show abnormalities, but as AVN progresses, bone collapse may become visible.
    • MRI (Magnetic Resonance Imaging): MRI scans are more sensitive than X-rays and can detect early signs of AVN before bone collapse occurs. An MRI provides a detailed view of the bone, cartilage, and soft tissues.
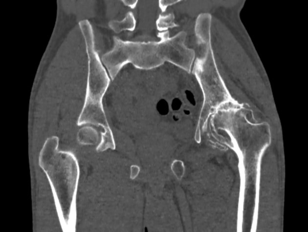
    • CT Scan (Computed Tomography): A CT scan provides cross-sectional images of the hip, offering more detail than an X-ray. It can reveal changes in bone density and joint structure.

Once a diagnosis is confirmed, Dr. Tulloch will discuss the best treatment options tailored to your individual condition and lifestyle.

Treatment Options For Avascular Necrosis Of The Hip

Treatment for avascular necrosis depends on the stage of the condition and the extent of bone damage. Options may include both non-surgical and surgical approaches.

Non-Surgical Treatment

  • Lifestyle Modifications: Reducing weight-bearing activities and using crutches or a cane may relieve pressure on the hip and prevent further joint damage.
  • Medications: Anti-inflammatory medications may relieve pain and swelling. Bisphosphonates may also be prescribed to slow bone loss.
  • Physiotherapy: A physiotherapy program can help maintain joint mobility and strengthen surrounding muscles.

Surgical Treatment

  • Core Decompression: In the early stages of AVN, core decompression may be performed. This procedure involves removing a small section of the bone to reduce pressure and improve blood flow to the affected area.
  • Bone Grafting: Bone grafting may be used alongside core decompression to support the healing process. The graft acts as a “scaffold” for new bone growth.
  • Osteotomy: This procedure reshapes the bone to shift weight away from the damaged area. It may be considered for younger patients who wish to delay hip replacement surgery.
  • Total Hip Replacement (Arthroplasty): If the bone has collapsed or the hip joint is severely damaged, a total hip replacement may be recommended. This procedure involves replacing the damaged femoral head and hip socket with a prosthetic joint to restore function and relieve pain.

Dr. Tulloch will discuss which treatment options are most appropriate for your stage of avascular necrosis, your lifestyle, and your long-term goals.

When Should You Seek Help For Avascular Necrosis Of The Hip?

If you experience persistent hip pain, stiffness, or difficulty with movement, it may be time to seek medical advice. Early intervention is essential, as timely treatment may slow the progression of avascular necrosis and reduce the need for more extensive surgery.

If you would like to learn more about treatment options for avascular necrosis of the hip or schedule an appointment, contact the Victorian Orthopaedic Group today.