Hip Labral Tear
Hip Labral Tear: Damage to the Cartilage Ring That Supports and Stabilises the Hip Joint
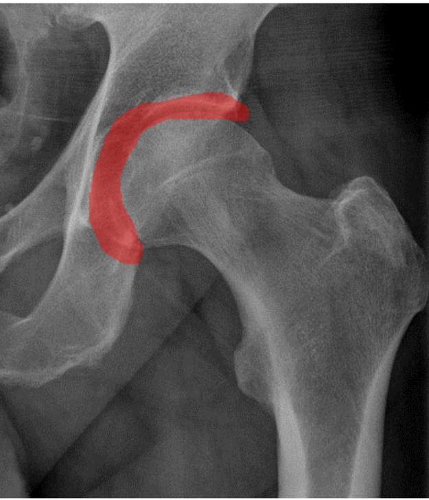
A hip labral tear occurs when the labrum, a ring of cartilage that surrounds the hip joint socket (acetabulum), becomes damaged or torn. The labrum plays a critical role in stabilising the hip joint and ensuring smooth, pain-free movement. Damage to the labrum can cause pain, clicking or locking sensations, and a loss of hip function, which may affect your ability to walk, run, or perform other physical activities.
Hip labral tears can result from trauma, overuse, or structural abnormalities in the hip. Early diagnosis and treatment are important to prevent further damage to the hip joint and maintain mobility.
Causes Of A Hip Labral Tear
A hip labral tear can occur due to a variety of reasons, including:
- Trauma or Injury: Sudden impacts, falls, car accidents, or high-impact sports injuries can cause a hip labral tear. Direct trauma to the hip joint can force the labrum beyond its normal range of motion, leading to damage or tearing.
- Femoroacetabular Impingement (FAI): FAI is a common cause of hip labral tears. It occurs when abnormal bone growths on the femoral head or acetabulum (hip socket) create friction, pinching the labrum during movement. Over time, this repetitive pinching can cause the labrum to tear.
- Repetitive Movements and Overuse: Activities that involve repetitive hip rotation or twisting (such as running, ballet, golf, or certain manual labour tasks) can put stress on the labrum, leading to wear and tear over time.
- Hip Dysplasia: Hip dysplasia is a condition where the hip socket is abnormally shallow, causing increased pressure on the labrum. This can increase the risk of a labral tear, especially in younger adults.
- Degenerative Changes: As we age, the labrum may naturally weaken, making it more susceptible to tears. This process is similar to the “wear and tear” seen in conditions like osteoarthritis.
- Structural Abnormalities: Certain structural irregularities, such as leg length differences or hip alignment issues, may increase the strain on the hip labrum, making it more prone to tears.
Symptoms Of A Hip Labral Tear
The symptoms of a hip labral tear can vary depending on the severity of the tear and the underlying cause. Common symptoms include:
- Hip or Groin Pain: Pain is often felt deep in the groin or around the hip. It may worsen with physical activity or prolonged periods of sitting, standing, or walking.
- Clicking, Catching, or Locking Sensations: Some people report hearing or feeling a “click,” “pop,” or “locking” sensation in the hip joint.
- Stiffness and Reduced Range of Motion: Damage to the labrum can limit the hip’s movement, making it difficult to fully rotate or bend the hip.
- Pain with Specific Movements: Activities that require rotation of the hip, like twisting, turning, or pivoting, can trigger pain. This is common in sports such as golf, soccer, or dance.
- Hip Instability: The hip joint may feel as though it could “give way” during certain movements, as the damaged labrum is no longer supporting the joint effectively.
- Radiating Pain: Pain from a hip labral tear may extend to the thigh, buttock, or lower back, making it difficult to pinpoint the exact source of discomfort.
If you are experiencing these symptoms, especially if they are persistent or affecting your daily activities, it may be time to seek medical advice. Early diagnosis and treatment can prevent further damage to the hip joint.
Risk Factors For Hip Labral Tears
Certain factors may increase the likelihood of developing a hip labral tear, including:
- Sports Participation: Sports that involve twisting, pivoting, or sudden changes in direction (e.g., soccer, football, ballet, golf, or hockey) place repeated stress on the hip joint, increasing the risk of a labral tear.
- Structural Abnormalities: Conditions like femoroacetabular impingement (FAI) or hip dysplasia place extra pressure on the labrum, making it more prone to tearing.
- Age and Wear-and-Tear: As people age, the cartilage and labrum naturally become less flexible and more susceptible to damage.
- Repetitive Movements: Repetitive hip motions associated with certain jobs or sports (like manual labour, dancing, or long-distance running) can gradually wear down the labrum.
- Previous Hip Injuries: A history of hip dislocations, fractures, or trauma may increase the risk of developing a labral tear later in life.
Being aware of these risk factors can help individuals take precautions, especially if they participate in high-risk activities.
Diagnosis Of A Hip Labral Tear
Accurate diagnosis of a hip labral tear is essential for developing an appropriate treatment plan. Diagnostic steps may include:
Clinical Assessment: Dr Scott Tulloch will review your medical history, discuss your symptoms, and conduct a physical examination. Certain movements and range-of-motion tests may help identify whether a labral tear is the cause of your pain.
Imaging Tests:
- X-Rays: X-rays can help detect bone abnormalities, such as femoroacetabular impingement (FAI) or hip dysplasia, which may be contributing to the tear.
- MRI (Magnetic Resonance Imaging): An MRI scan provides detailed images of the soft tissues in and around the hip, including the labrum. In some cases, a contrast dye (MRA) is used to enhance the visibility of the tear.
If a labral tear is confirmed, Dr Tulloch will discuss the most suitable treatment options for your specific condition and lifestyle.
Treatment Options For Hip Labral Tears
The treatment of a hip labral tear depends on the extent of the tear, the severity of symptoms, and the patient’s lifestyle and activity level. Options include both non-surgical and surgical approaches.
NON SURGICAL TREATMENT
Avoiding activities that place strain on the hip joint, such as running, twisting, or jumping, may reduce symptoms.
A tailored physiotherapy program may help strengthen the muscles around the hip, stabilise the joint, and improve mobility.
Corticosteroid injections may be used to reduce inflammation and relieve pain, especially if other treatments have not been successful.
Corticosteroid injections or hyaluronic acid injections may provide temporary relief by reducing inflammation or lubricating the joint.
These conservative treatments are often recommended as a first-line approach, particularly for minor tears.
SURGICAL TREATMENTS
This minimally invasive surgery involves using a small camera (arthroscope) and specialised instruments to repair or remove the damaged labrum. The goal is to restore the stability and function of the hip joint.
If the labrum can be repaired, it will be reattached to the hip socket using small anchors. This approach preserves as much of the labrum as possible.
In cases where the tear is too severe to repair, damaged parts of the labrum may be removed to prevent further damage and pain.
If the tear is caused by femoroacetabular impingement (FAI), the surgeon may reshape the femoral head or acetabulum to prevent future pinching and reduce the risk of re-injury.
Your treatment plan will be based on the extent of your injury, your goals, and your lifestyle. Dr. Tulloch will discuss these options with you and tailor a treatment approach that best suits your needs.
When Should You Seek Help For A Hip Labral Tear?
If hip pain, clicking, or instability is affecting your ability to walk, exercise, or perform daily activities, it may be time to seek medical advice. Early diagnosis and treatment can improve your outcomes and reduce the risk of further damage to the hip joint.
If you’d like to learn more about treatment options or schedule an appointment, contact the Victorian Orthopaedic Group today.