Skip to content
03 9853 7099
MAKE BOOKING
Home
ABOUT
Dr Scott Tulloch
Victorian Orthopaedic Group
HIP
Hip Conditions
Hip Arthritis
Hip Labral Tear
Avascular Necrosis of the Hip
Hip Bursitis and Gluteal Tendinopathy
Hip Fractures & Dislocations
A Painful or Failing Hip Replacement
Hip Surgery
Hip Replacement Procedures
Total Hip Replacement (Arthroplasty)
Anterior Minimally Invasive (AMIS) Total Hip Replacement
Revision Hip Replacement (Arthroplasty)
FAQ’S Hip Replacement (Arthroplasty)
Gluteal Tendon Repair
Trochanteric Bursectomy (ITB Release)
KNEE
Knee Conditions
Knee Arthritis
ACL Injuries and Knee Instability
Knee Ligament Injuries (MCL, LCL, PCL And Complex Injuries)
Patellar Instability and Dislocation
Knee Cartilage Injuries and Damage
Osteochondritis Dissecans (OCD)
Avascular Necrosis of the Knee
Meniscal Tears
Osgood-Schlatter Disease
Knee Malalignment (Bowlegs and Knock Knees)
Knee Fractures
Quadriceps Tendon Rupture
Patellar Tendon Rupture
Failed or Painful Knee Replacement
Knee Surgery
Coolief Radiofrequency Ablation (RFA)
Knee Replacement Procedures
Partial Knee Replacement (Unicompartmental)
Total Knee Replacement (Arthroplasty)
Kinematically Aligned Total Knee Replacement
Robotic-Assisted Knee Replacement
Revision Knee Replacement (Arthroplasty)
Anterior Cruciate Ligament (ACL) Reconstruction
Knee Ligament Reconstruction (MCL, PCL And Multi-Ligament Injuries)
Knee Arthroscopy
Meniscal Repair (Arthroscopic)
Meniscal Debridement (Arthroscopic)
Knee Osteotomy (Realignment Surgery)
Patella Stabilisation
Knee Videos
TRAUMA
Traumatic Orthopaedic Injuries
Upper Limb Fractures
Distal Radius Fractures (Wrist Fractures)
Forearm and Elbow Fractures
Shoulder Fractures
Clavicle Fractures (Collarbone)
Humerus Fractures (Upper Arm)
Acromioclavicular (AC) Joint Injuries
Lower Limb Fractures
Hip Fractures
Knee Fractures
Ankle Fractures
Soft Tissue Tendon Injuries
Ankle Syndesmosis Injuries (High Ankle Sprain)
Sinus Tarsi Syndrome
Achilles Tendon Rupture
Hamstring Tendon Injuries
Orthopaedic Trauma Surgery
Upper Limb Trauma Surgery
Lower Limb Trauma Surgery
Paediatric Fracture Care
PATIENT RESOURCES
Appointment Information
Your Appointments: New Patient Registration Form
Patient Optimised Pathway (POP) App
Joint Injections for Arthritis Pain Relief
Planning for Surgery
Recovering from Surgery
NEWS
Patient News
Contact
Home
ABOUT
Dr Scott Tulloch
Victorian Orthopaedic Group
HIP
Hip Conditions
Hip Arthritis
Hip Labral Tear
Avascular Necrosis of the Hip
Hip Bursitis and Gluteal Tendinopathy
Hip Fractures & Dislocations
A Painful or Failing Hip Replacement
Hip Surgery
Hip Replacement Procedures
Total Hip Replacement (Arthroplasty)
Anterior Minimally Invasive (AMIS) Total Hip Replacement
Revision Hip Replacement (Arthroplasty)
FAQ’S Hip Replacement (Arthroplasty)
Gluteal Tendon Repair
Trochanteric Bursectomy (ITB Release)
KNEE
Knee Conditions
Knee Arthritis
ACL Injuries and Knee Instability
Knee Ligament Injuries (MCL, LCL, PCL And Complex Injuries)
Patellar Instability and Dislocation
Knee Cartilage Injuries and Damage
Osteochondritis Dissecans (OCD)
Avascular Necrosis of the Knee
Meniscal Tears
Osgood-Schlatter Disease
Knee Malalignment (Bowlegs and Knock Knees)
Knee Fractures
Quadriceps Tendon Rupture
Patellar Tendon Rupture
Failed or Painful Knee Replacement
Knee Surgery
Coolief Radiofrequency Ablation (RFA)
Knee Replacement Procedures
Partial Knee Replacement (Unicompartmental)
Total Knee Replacement (Arthroplasty)
Kinematically Aligned Total Knee Replacement
Robotic-Assisted Knee Replacement
Revision Knee Replacement (Arthroplasty)
Anterior Cruciate Ligament (ACL) Reconstruction
Knee Ligament Reconstruction (MCL, PCL And Multi-Ligament Injuries)
Knee Arthroscopy
Meniscal Repair (Arthroscopic)
Meniscal Debridement (Arthroscopic)
Knee Osteotomy (Realignment Surgery)
Patella Stabilisation
Knee Videos
TRAUMA
Traumatic Orthopaedic Injuries
Upper Limb Fractures
Distal Radius Fractures (Wrist Fractures)
Forearm and Elbow Fractures
Shoulder Fractures
Clavicle Fractures (Collarbone)
Humerus Fractures (Upper Arm)
Acromioclavicular (AC) Joint Injuries
Lower Limb Fractures
Hip Fractures
Knee Fractures
Ankle Fractures
Soft Tissue Tendon Injuries
Ankle Syndesmosis Injuries (High Ankle Sprain)
Sinus Tarsi Syndrome
Achilles Tendon Rupture
Hamstring Tendon Injuries
Orthopaedic Trauma Surgery
Upper Limb Trauma Surgery
Lower Limb Trauma Surgery
Paediatric Fracture Care
PATIENT RESOURCES
Appointment Information
Your Appointments: New Patient Registration Form
Patient Optimised Pathway (POP) App
Joint Injections for Arthritis Pain Relief
Planning for Surgery
Recovering from Surgery
NEWS
Patient News
Contact
Home
ABOUT
Dr Scott Tulloch
Victorian Orthopaedic Group
HIP
Hip Conditions
Hip Arthritis
Hip Labral Tear
Avascular Necrosis of the Hip
Hip Bursitis and Gluteal Tendinopathy
Hip Fractures & Dislocations
A Painful or Failing Hip Replacement
Hip Surgery
Hip Replacement Procedures
Total Hip Replacement (Arthroplasty)
Anterior Minimally Invasive (AMIS) Total Hip Replacement
Revision Hip Replacement (Arthroplasty)
FAQ’S Hip Replacement (Arthroplasty)
Gluteal Tendon Repair
Trochanteric Bursectomy (ITB Release)
KNEE
Knee Conditions
Knee Arthritis
ACL Injuries and Knee Instability
Knee Ligament Injuries (MCL, LCL, PCL And Complex Injuries)
Patellar Instability and Dislocation
Knee Cartilage Injuries and Damage
Osteochondritis Dissecans (OCD)
Avascular Necrosis of the Knee
Meniscal Tears
Osgood-Schlatter Disease
Knee Malalignment (Bowlegs and Knock Knees)
Knee Fractures
Quadriceps Tendon Rupture
Patellar Tendon Rupture
Failed or Painful Knee Replacement
Knee Surgery
Coolief Radiofrequency Ablation (RFA)
Knee Replacement Procedures
Partial Knee Replacement (Unicompartmental)
Total Knee Replacement (Arthroplasty)
Kinematically Aligned Total Knee Replacement
Robotic-Assisted Knee Replacement
Revision Knee Replacement (Arthroplasty)
Anterior Cruciate Ligament (ACL) Reconstruction
Knee Ligament Reconstruction (MCL, PCL And Multi-Ligament Injuries)
Knee Arthroscopy
Meniscal Repair (Arthroscopic)
Meniscal Debridement (Arthroscopic)
Knee Osteotomy (Realignment Surgery)
Patella Stabilisation
Knee Videos
TRAUMA
Traumatic Orthopaedic Injuries
Upper Limb Fractures
Distal Radius Fractures (Wrist Fractures)
Forearm and Elbow Fractures
Shoulder Fractures
Clavicle Fractures (Collarbone)
Humerus Fractures (Upper Arm)
Acromioclavicular (AC) Joint Injuries
Lower Limb Fractures
Hip Fractures
Knee Fractures
Ankle Fractures
Soft Tissue Tendon Injuries
Ankle Syndesmosis Injuries (High Ankle Sprain)
Sinus Tarsi Syndrome
Achilles Tendon Rupture
Hamstring Tendon Injuries
Orthopaedic Trauma Surgery
Upper Limb Trauma Surgery
Lower Limb Trauma Surgery
Paediatric Fracture Care
PATIENT RESOURCES
Appointment Information
Your Appointments: New Patient Registration Form
Patient Optimised Pathway (POP) App
Joint Injections for Arthritis Pain Relief
Planning for Surgery
Recovering from Surgery
NEWS
Patient News
Contact
Home
ABOUT
Dr Scott Tulloch
Victorian Orthopaedic Group
HIP
Hip Conditions
Hip Arthritis
Hip Labral Tear
Avascular Necrosis of the Hip
Hip Bursitis and Gluteal Tendinopathy
Hip Fractures & Dislocations
A Painful or Failing Hip Replacement
Hip Surgery
Hip Replacement Procedures
Total Hip Replacement (Arthroplasty)
Anterior Minimally Invasive (AMIS) Total Hip Replacement
Revision Hip Replacement (Arthroplasty)
FAQ’S Hip Replacement (Arthroplasty)
Gluteal Tendon Repair
Trochanteric Bursectomy (ITB Release)
KNEE
Knee Conditions
Knee Arthritis
ACL Injuries and Knee Instability
Knee Ligament Injuries (MCL, LCL, PCL And Complex Injuries)
Patellar Instability and Dislocation
Knee Cartilage Injuries and Damage
Osteochondritis Dissecans (OCD)
Avascular Necrosis of the Knee
Meniscal Tears
Osgood-Schlatter Disease
Knee Malalignment (Bowlegs and Knock Knees)
Knee Fractures
Quadriceps Tendon Rupture
Patellar Tendon Rupture
Failed or Painful Knee Replacement
Knee Surgery
Coolief Radiofrequency Ablation (RFA)
Knee Replacement Procedures
Partial Knee Replacement (Unicompartmental)
Total Knee Replacement (Arthroplasty)
Kinematically Aligned Total Knee Replacement
Robotic-Assisted Knee Replacement
Revision Knee Replacement (Arthroplasty)
Anterior Cruciate Ligament (ACL) Reconstruction
Knee Ligament Reconstruction (MCL, PCL And Multi-Ligament Injuries)
Knee Arthroscopy
Meniscal Repair (Arthroscopic)
Meniscal Debridement (Arthroscopic)
Knee Osteotomy (Realignment Surgery)
Patella Stabilisation
Knee Videos
TRAUMA
Traumatic Orthopaedic Injuries
Upper Limb Fractures
Distal Radius Fractures (Wrist Fractures)
Forearm and Elbow Fractures
Shoulder Fractures
Clavicle Fractures (Collarbone)
Humerus Fractures (Upper Arm)
Acromioclavicular (AC) Joint Injuries
Lower Limb Fractures
Hip Fractures
Knee Fractures
Ankle Fractures
Soft Tissue Tendon Injuries
Ankle Syndesmosis Injuries (High Ankle Sprain)
Sinus Tarsi Syndrome
Achilles Tendon Rupture
Hamstring Tendon Injuries
Orthopaedic Trauma Surgery
Upper Limb Trauma Surgery
Lower Limb Trauma Surgery
Paediatric Fracture Care
PATIENT RESOURCES
Appointment Information
Your Appointments: New Patient Registration Form
Patient Optimised Pathway (POP) App
Joint Injections for Arthritis Pain Relief
Planning for Surgery
Recovering from Surgery
NEWS
Patient News
Contact
Knee Conditions
Knee Arthritis
LEARN MORE
ACL Injuries and Knee Instability
LEARN MORE
Knee Ligament Injuries (MCL, LCL, PCL And Complex Injuries)
LEARN MORE
Patellar Instability and Dislocation
LEARN MORE
Knee Cartilage Injuries and Damage
LEARN MORE
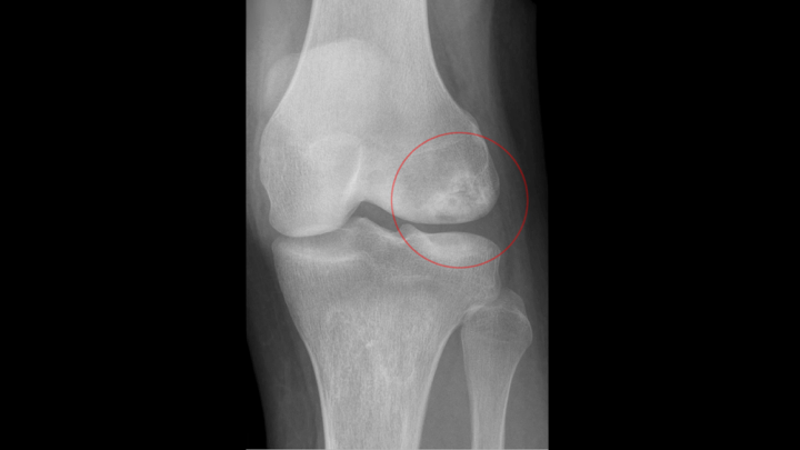
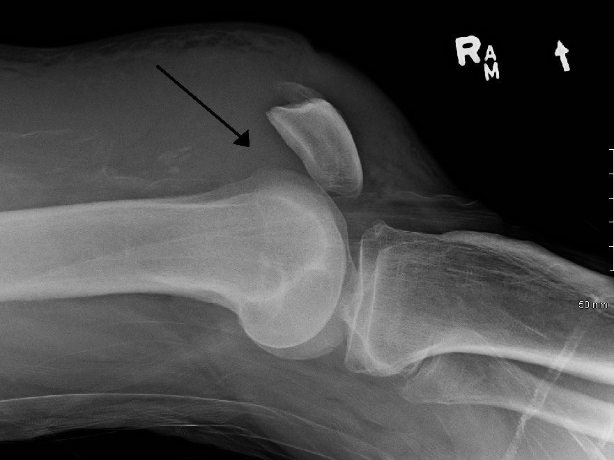
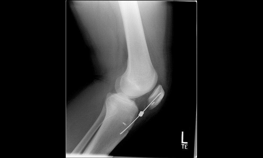
Osteochondritis Dissecans (OCD)
LEARN MORE
Avascular Necrosis of the Knee
LEARN MORE
Meniscal Tears
LEARN MORE
Osgood-Schlatter Disease
LEARN MORE
Knee Malalignment
LEARN MORE
Knee Fractures
LEARN MORE
Quadriceps Tendon Rupture
LEARN MORE
Patellar Tendon Rupture
LEARN MORE
Failed or Painful Knee Replacement
LEARN MORE
KNEE SURGERY
LEARN MORE
First Name
Last Name
Email
Phone Number
Subject
Message
Send Message