Gluteal Tendon Repair

Gluteal Tendon Repair: Addressing Pain and Improving Hip Function

A gluteal tendon repair is a surgical procedure aimed at addressing damage or tears in the gluteal tendons, which play a key role in stabilising the hip and enabling movement. Gluteal tendinopathy or tears can result in persistent hip pain and reduced mobility, often impacting daily activities such as walking, climbing stairs, or standing for extended periods. This procedure may help relieve pain, restore function, and improve quality of life.

What Is Gluteal Tendon Repair?

Gluteal tendon repair involves surgically reattaching or reinforcing the damaged tendons located on the outer side of the hip. These tendons connect the gluteal muscles to the hip bone, playing a crucial role in hip stability and movement. The procedure can be performed using minimally invasive techniques or open surgery, depending on the severity of the tear and the patient’s overall health.

When Is Gluteal Tendon Repair Recommended?

Gluteal tendon repair is often recommended for patients with the following conditions:

  • Gluteal Tendinopathy: Chronic irritation or inflammation of the gluteal tendons, leading to pain and weakness.
  • Tendon Tears: Partial or complete tears caused by overuse, trauma, or degenerative changes.
  • Persistent Pain: Hip pain that does not respond to non-surgical treatments, such as physiotherapy or injections.
  • Reduced Mobility: Difficulty walking, climbing stairs, or standing due to tendon dysfunction.

Preparation For Gluteal Tendon Repair Surgery

To optimise outcomes, preparation for surgery may involve:

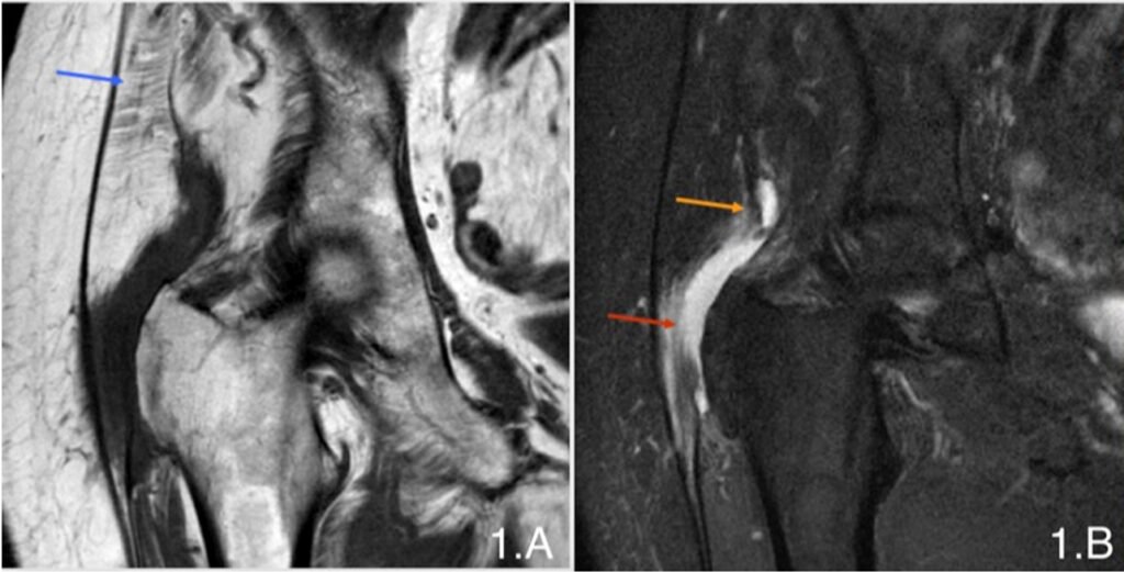
  • Pre-Surgical Assessment: Dr Scott Tulloch will evaluate your condition through a physical examination and imaging tests, such as an MRI or ultrasound, to assess the extent of tendon damage.
  • Pre-Surgery Instructions: You may be advised to stop certain medications, follow fasting guidelines, and prepare your home for recovery (e.g., arranging for crutches or other assistive devices).
  • Lifestyle Adjustments: Improving overall health, such as losing weight, quitting smoking, or performing targeted exercises, may enhance surgical success and recovery.

What Happens During The Surgery?

  • Surgical Technique: The procedure may be performed arthroscopically (minimally invasive) or through open surgery, depending on the severity of the tear.
  • Anaesthesia: General anaesthesia or regional anaesthesia is typically used.
  • Procedure Steps: The surgeon cleans the damaged area, reattaches the tendon to the bone using sutures or anchors, and addresses any associated conditions, such as bursitis.
  • Duration: The surgery generally takes 1-2 hours.

Understanding The Risks

While gluteal tendon repair is generally safe, potential risks include:

  • Infection at the surgical site
  • Blood clots in the legs or lungs
  • Temporary or permanent nerve irritation
  • Re-tearing of the tendon or incomplete healing
  • Rare complications, such as adverse reactions to anaesthesia

Dr Scott Tulloch will discuss these risks with you and outline strategies to minimise them.

What To Expect After Surgery

  • Hospital Stay: Most patients can return home on the same day or after a short hospital stay, depending on the surgical technique and overall health.
  • Pain Management: Medications and cold therapy may be used to manage pain and swelling.
  • Assistive Devices: Crutches or a walker may be needed to limit weight-bearing on the affected hip during the initial recovery period.
  • Discharge Instructions: You will receive guidance on caring for the surgical site, managing pain, and recognising signs of complications.

Rehabilitation And Recovery

  • Recovery Timeline: Initial recovery may take 6-8 weeks, with full recovery taking up to 6 months, depending on the severity of the tendon damage and adherence to rehabilitation protocols.
  • Physiotherapy: A structured physiotherapy program is crucial for rebuilding strength, improving flexibility, and restoring function.
  • Restrictions: Weight-bearing and certain movements may be limited during the early stages of recovery to protect the repair.

Long-term Outcomes

Gluteal tendon repair may provide long-term relief from pain and improved hip function for many patients. Maintaining a healthy lifestyle, following physiotherapy recommendations, and attending follow-up appointments with Dr Scott Tulloch are essential for achieving the best possible outcomes. While the repaired tendon may regain strength and function, avoiding activities that place excessive stress on the hip joint may help maintain the results.

If you’d like to learn more about gluteal tendon repair or discuss your options, book an appointment with Dr. Scott Tulloch at the Victorian Orthopaedic Group.